Ä¡·á¼ø¼
ÃÊÁø»ó´ã ¹× Áø´ÜÀÚ·á ¼öÁý - ³»¿ø ù³¯ °£´ÜÇÑ »ó´ã°ú Á¤¹ÐÁø´ÜÀ» À§ÇÑ ÀڷḦ 䵿ÇÕ´Ï´Ù.
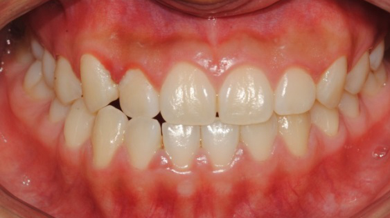
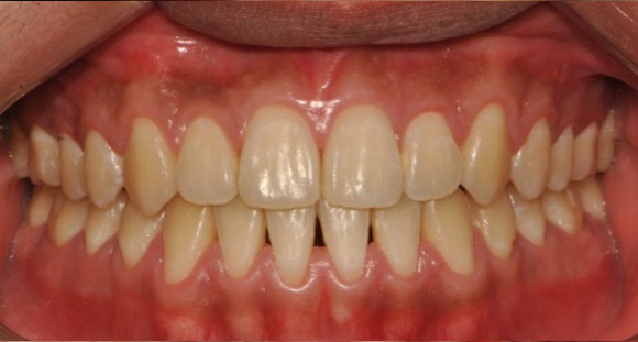
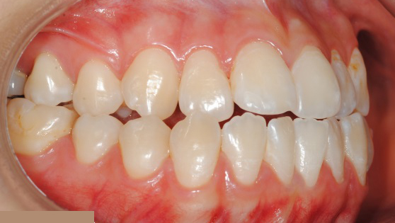
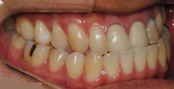
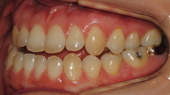
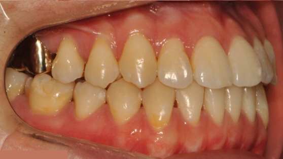
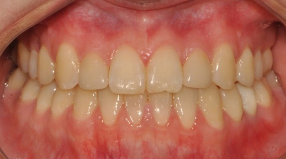
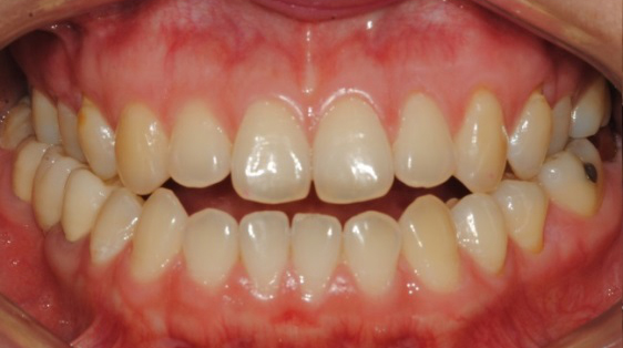
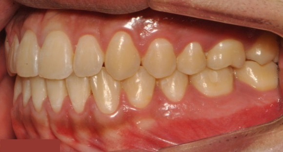
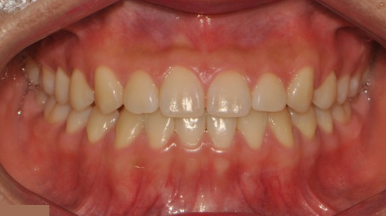
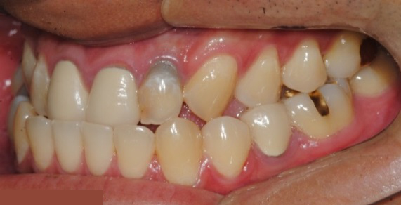
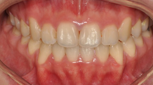
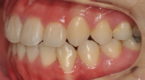
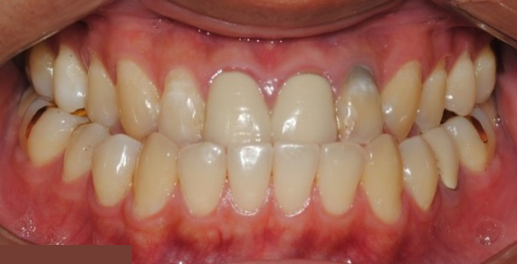
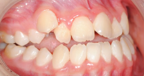
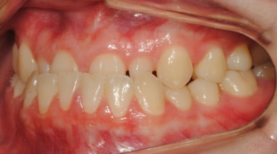
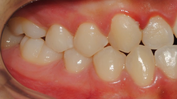
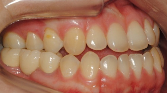
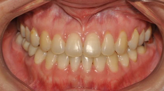
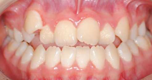
¾ó±¼»çÁø ¹× ±¸°³» »çÁø
Àü½Å ÀÚ¼¼»çÁø
X-ray (Cephalo, Panorama, Skull P-A, Skull A-P, TMJ series, C-T)
¸ð¸£Æä¿ì½º 3Â÷¿ø ¾ó±¼ ºÐ¼® ÃÔ¿µ
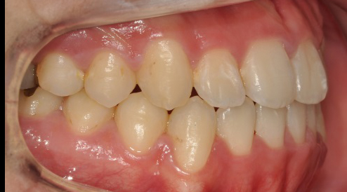
Ä¡¾Æ¸ðÇü 䵿
Ä¡·á °èȹ ¼ö¸³
¼öÁýµÈ ÀڷḦ ºÐ¼®ÇÏ¿© ÁÖ°ÆÅÎÀÇ ¿øÀΰú ÇüÅ ºÐ¼® ÈÄ Àå±âÀûÀÎ Ä¡·á°èȹÀ» ¼ö¸³ÇÕ´Ï´Ù.
À̶§ »ç¿ëµÇ´Â °³ÀÎ ¸ÂÃãÇü Á¤ÇüÀåÄ¡ Á¾·ù°¡ ÃÖÁ¾ È®Á¤µË´Ï´Ù.
Àç»ó´ã
°èȹµÈ Ä¡·áÀڷḦ °¡Áö°í Ä¡·á±â°£, Ä¡·á¹æ¹ý, Ä¡·áºñ¿ë µîÀ» »ó´ãÇÕ´Ï´Ù.
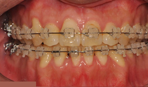
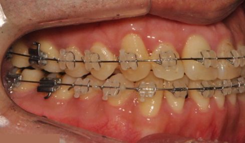
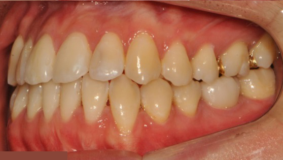
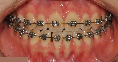
Á¤ÇüÀåÄ¡ÀÇ ÀåÂø
¼±ÅÃµÈ °³ÀÎ ¸ÂÃãÇü Á¤Çü±³Á¤ÀåÄ¡¸¦ Âø¿ëÇÏ°Ô µÇ¸é ÀåÄ¡»ç¿ë¹æ¹ý ¹× À¯ÀÇ»çÇ× µîÀÌ Àü´ÞµË´Ï´Ù.
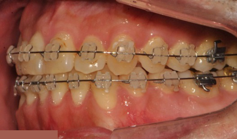
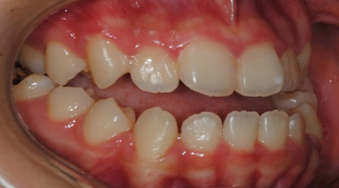
Ä¡¿±³Á¤ÀÇ ½ÃÀÛ(3Dºê¶óÄÏ ÀåÂø)
¾È¸é°ñ°ÝÀ» °³¼±½Ã۱â À§ÇØ Á¤Çü±³Á¤ÀåÄ¡¸¦ »ç¿ëÇÏ¿© 70%Á¤µµ¸¦ Ä¡·áÇϰí Ä¡¿À» °¡Áö·±ÇÏ°Ô ¹è¿½ÃŰ°í ±³ÇÕÀ» ¸ÂÃß±â À§ÇØ
±³Á¤¿ë ºê¶óÄÏÀ» ºÎÂøÇÏ¿© 30%Á¤µµ¸¦ ¸¶¹«¸®ÇÕ´Ï´Ù. À̶§, °³ÀÎ ¸ÂÃãÇü 3Dºê¶óÄÏÀ» ÀåÂøÇÕ´Ï´Ù.
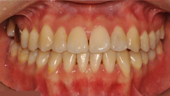
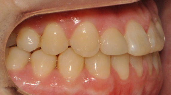
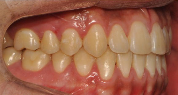
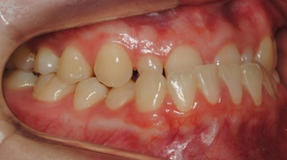
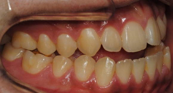
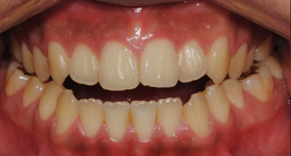
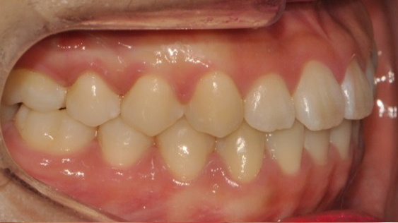
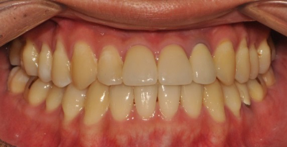
ÃÖÁ¾ Ä¡·á Á¡°Ë
¾È¸éºñ´ëĪ, À§ ¾Æ·¡ÅÎ À§Ä¡°ü°è, ÅΰüÀý »óÅÂ, Á¤È®ÇÑ ±³ÇÕ°ü°è µîÀ» Á¡°ËÇÕ´Ï´Ù.
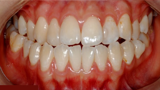
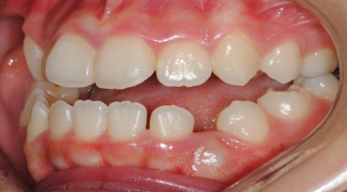
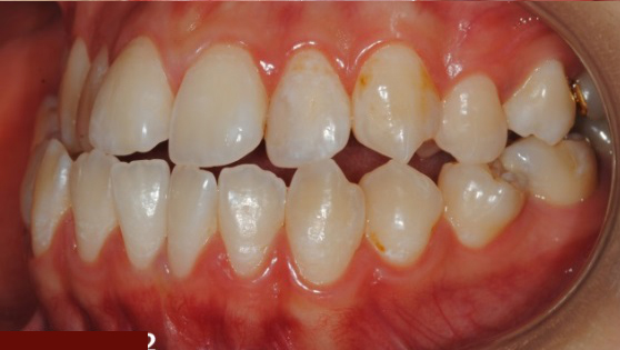
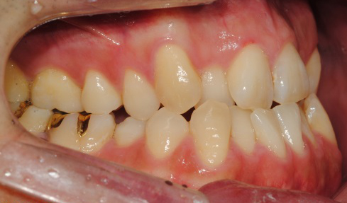
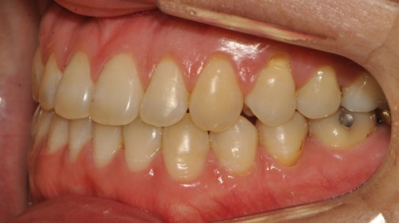
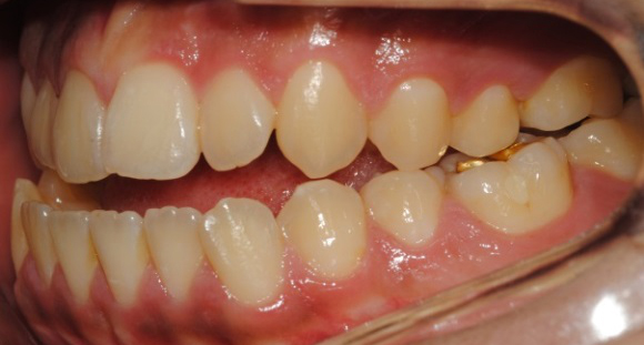
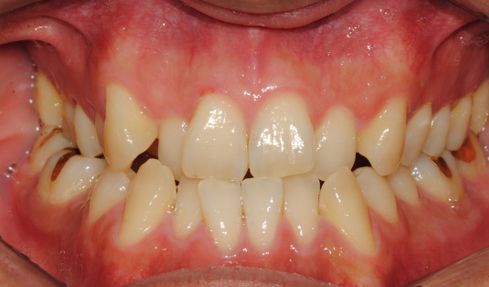
À¯Áö°ü¸®
±³ÇÕÀÌ ¹Ì¹ÌÇÒ °æ¿ì¿¡´Â Åõ¸í±³Á¤ÀåÄ¡³ª TP(Tooth positioner)µîÀ¸·Î ´õ¿í ´õ Á¤±³ÇÑ ±³ÇÕ°ü°è ¹× ÅÎ °ü°è¸¦ ¸¶¹«¸® ÁöÀ¸¸ç ÇÊ¿ä ½Ã, À¯ÁöÀåÄ¡°¡ °ø±ÞµË´Ï´Ù.

|