home contactus
login
ºÎÁ¤±³ÇÕÀÇ Á¾·ù¿Í ±³Á¤Ä¡·á
ºñ¹ßÄ¡±³Á¤ Á¤Çü±³Á¤ Ä® ¾È´ë´Â ¼ºÇü¼ö¼ú 3Dºê¶óÄÏ ¾ç¾Ç¼ö¼úÀ̶õ? ±¤´ë»À µ¹Ãâ°ú »ç°¢ÅÎ
¹ßÄ¡ ±³Á¤°ú ºñ¹ßÄ¡ ±³Á¤ ºñ±³ ÀúÈñ º´¿ø¿¡¼­´Â À¯·´½Ä ºñ¹ßÄ¡±³Á¤À» ÀÌ¿ëÇÏ¿© ¾Ç±ÃÀ» ÃæºÐÈ÷ ³ÐÇôÁØ ´ÙÀ½ ¹Ì±¹½Ä ±³Á¤À¸·Î ¸¶¹«¸® Çϱ⠶§¹®¿¡ ÅëÁõ¾øÀÌ ºü¸¥ ±â°£³»¿¡ ±³Á¤Ä¡·á°¡ ÀÌ·ç¾îÁý´Ï´Ù. ¹ßÄ¡±³Á¤ Á¦1¼Ò±¸Ä¡ 4°³¸¦ ¹ßÄ¡ÇÑ´Ù. Ä¡¾ÆÀ̵¿°Å¸®°¡ ¸¹¾Æ Ä¡·á Áß ÅëÁõÀÌ ½ÉÇϰí Ä¡¾Æ¿¡ ¼Õ»óÀÌ °¡ÇØÁ® Ä¡±ÙÈí¼ö (¾à 1~5mm)°¡ ¸¹ÀÌ »ý±ä´Ù. ¹ßÄ¡¸¦ ÇÑ °ø°£À» ¿ÏÀüÈ÷ ¾ø¾Ö±â Èûµé´Ù. ±×·¯¹Ç·Î ÀÎÁ¢Ä¡¸¦ Å©¶ó¿îÀ¸·Î ¾º¿ì°Å³ª ·¹ÁøÀ¸·Î ¸Þ²Ù¾î¼­ °ø°£À» ÇØ°áÇØ¾ß ÇÑ´Ù. ±³Á¤Ä¡·á ±â°£ÀÌ ¸¹ÀÌ °É¸°´Ù. (¾à 2~3³â ÀÌ»ó) Á¤È®ÇÑ ±³ÇÕÀ» ¸ÂÃß±â Èûµé¸ç ±×·ÎÀÎÇØ ÅΰüÀý Àå¾Ö¸¦ ÃÊ·¡ÇÒ ¼ö ÀÖ´Ù. ¹ßÄ¡ÇÑ °ø°£À» ¸Þ²Ù±â À§ÇÏ¿© »óÇÏ¾Ç ÀüÄ¡ºÎ¸¦ ÈĹæÀ¸·Î ¹Ð¾î ³Ö¾î ¿Á´Ï°¡ µÉ ¼ö ÀÖÀ¸¸ç ¾ó±¼ ¸ð½ÀÀÌ ÇÕÂßÇÏ°Ô µÉ ¼ö ÀÖ´Ù. »óÇÏ¾Ç ÀüÄ¡¸¦ ÈĹæÀ¸·Î ¹Ð¾î ³Ö±â ¶§¹®¿¡ Çô°¡ ³õÀ» ¼ö ÀÖ´Â °ø°£ÀÌ Àû¾îÁ® ÄÚ°ñÀ̸¦ À¯¹ßÇÒ ¼ö ÀÖ´Ù. ±³ÇÕÀÌ Á¤È®ÇÏ°Ô ¸ÂÁö ¾Ê±â ¶§¹®¿¡ Ä¡¾Æ ±³ÇÕ¸éÀÇ ¸¶¸ð¸¦ ÃÊ·¡ÇÑ´Ù. ±³Á¤ÀÌ ³¡³­ ÈÄ ¾Ç±ÃÅ©±â¿Í Àüü Ä¡¾ÆÅ©±âÀÇ Â÷ÀÌ ¶§¹®¿¡ Ä¡¾Æ°¡ ¿ø·¡ ÀÚ¸®·Î µ¹¾Æ°¡°Å³ª °ø°£ÀÌ »ý±æ ¼ö ÀÖ´Ù. Àç¹ßÀÇ À§Ç輺ÀÌ ÀÖÀ¸¹Ç·Î ±³Á¤Ä¡·á ÈÄ ¹Ýµå½Ã º¸Á¤ÀåÄ¡ (Retainer)¸¦ ¿À·§µ¿¾È ÀåÂøÇØ¾ß ÇÑ´Ù. ºñ¹ßÄ¡±³Á¤ ¹ßÄ¡¸¦ ÇÏÁö ¾Ê´Â´Ù. Ä¡¾ÆÀ̵¿°Å¸®°¡ ¸¹Áö ¾Ê¾Æ ÅëÁõÀÌ ¾ø°í Ä¡¾Æ¿¡ ¼Õ»óÀÌ ¾øÀ¸¹Ç·Î Ä¡±ÙÈí¼ö°¡ °ÅÀÇ ¾ø´Ù. ¹ßÄ¡¸¦ ÇÏÁö ¾ÊÀ¸¹Ç·Î Ä¡¾Æ»çÀÌ¿¡ °ø°£ÀÌ »ý±âÁö ¾Ê´Â´Ù. ±³Á¤Ä¡·á±â°£ÀÌ Âª´Ù. (¾à 1³â~2³â) Á¤È®ÇÑ ±³ÇÕÀ» ¸ÂÃ߱Ⱑ ¿ëÀÌÇÏ´Ù. ÇϾÇÀÌ ÈĹæÀ¸·Î µé¾î°£ °æ¿ì À̸¦ Àü¹æÀ¸·Î À¯µµÇÏ¿© Çô°¡ ³õÀÏ ¼ö ÀÖ´Â °ø°£À» È®º¸ÇÏ¿© ÄÚ°ñÀ̸¦ Ä¡·áÇÒ ¼ö ÀÖ´Ù. Á¤»óÀûÀÎ ¾È¸ð¸¦ ¸¸µé¾î ÁÙ ¼ö ÀÖ´Ù. ±³ÇÕÀ» Á¤È®ÇÏ°Ô ¸ÂÃâ ¼ö Àֱ⠶§¹®¿¡ Ä¡¾Æ ±³ÇÕ¸éÀÇ ¸¶¸ð°¡ ¾ø´Ù. ±³Á¤ÀÌ ³¡³­ ÈÄ Ä¡¾Æ°¡ ¿ø·¡ ÀÚ¸®·Î µ¹¾Æ°¡´Â °æ¿ì´Â µå¹°´Ù. Àç¹ßÀÇ À§Ç輺ÀÌ °ÅÀÇ ¾øÀ¸¹Ç·Î ±³Á¤Ä¡·á ÈÄ º¸Á¤ÀåÄ¡ (Retainer)°¡ ÇÊ¿ä ¾ø´Ù.

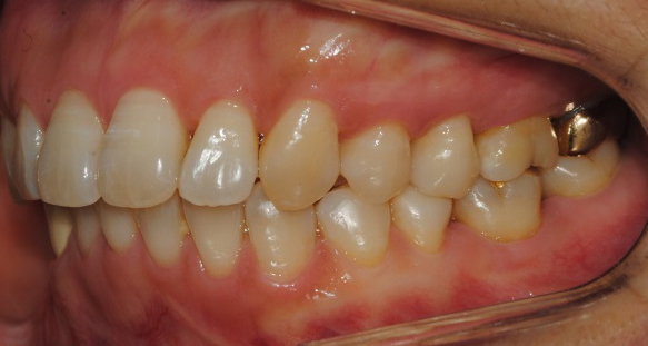
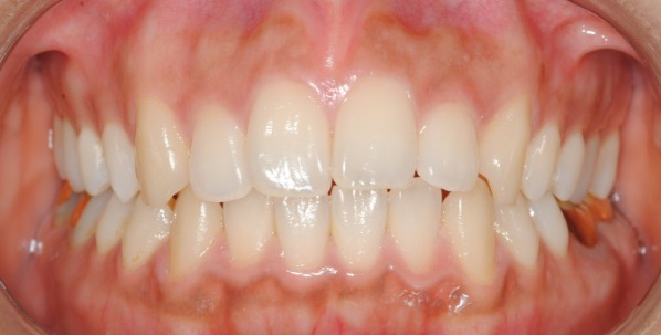
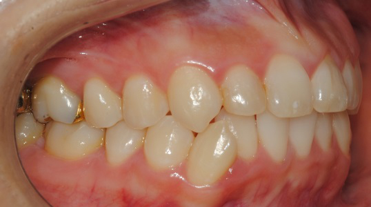
01. ±³Á¤»ç·Ê
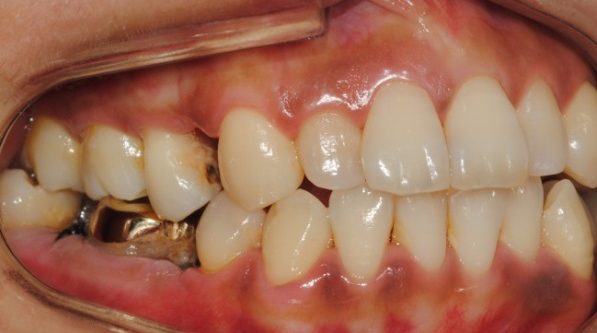
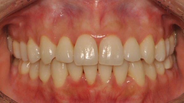
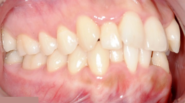
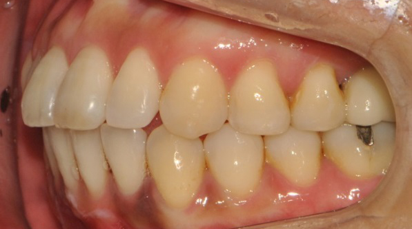
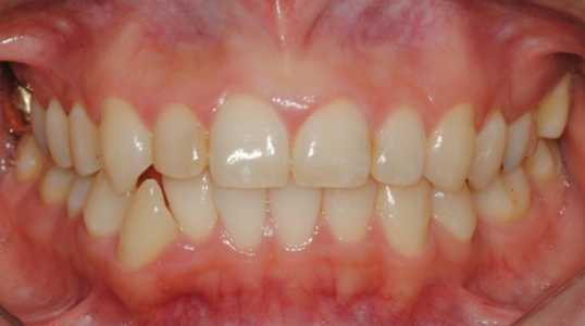
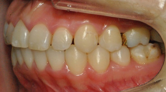
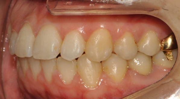
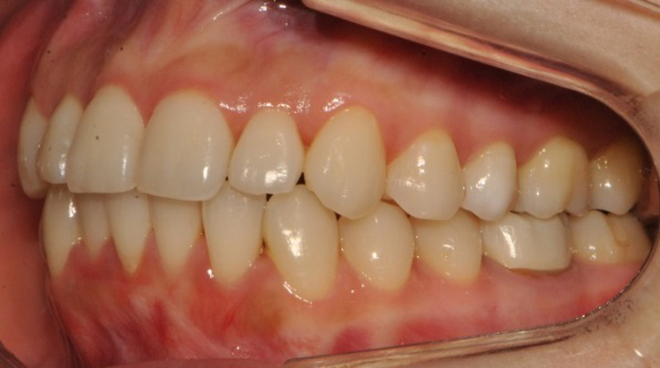
  • Before

    ¡å

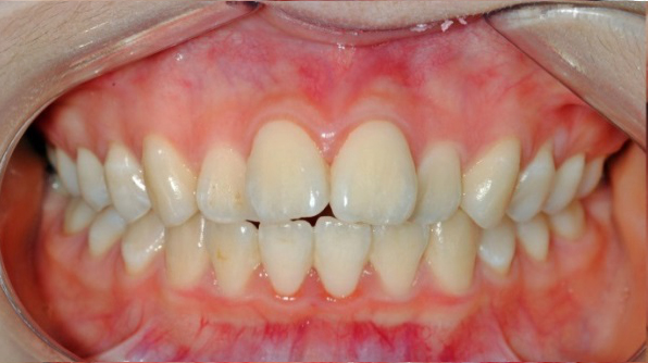
    After
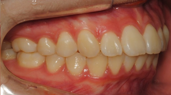
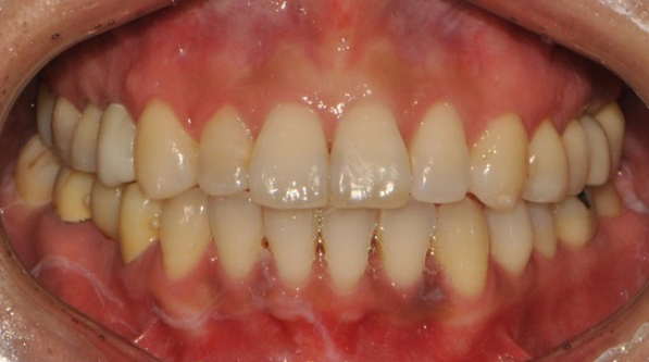
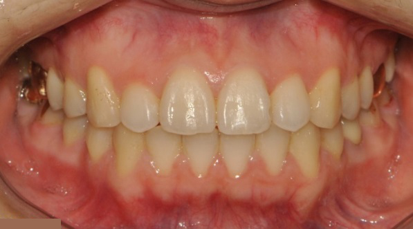
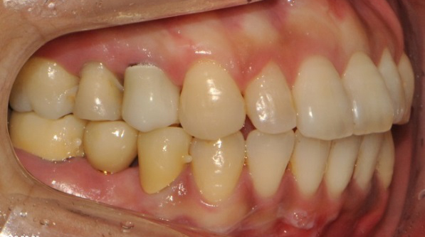
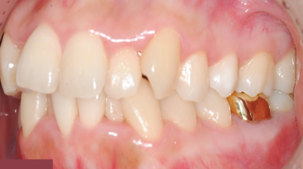
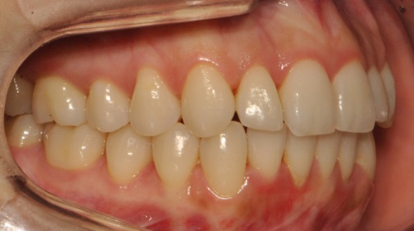
  • Before

    ¡å

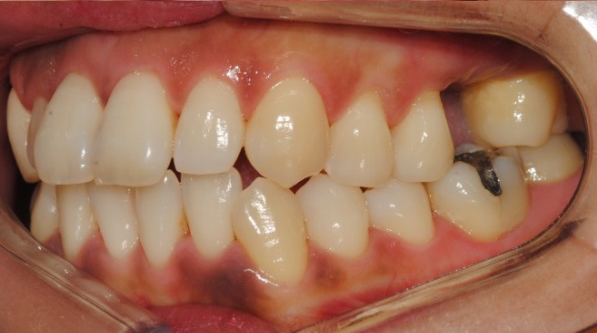
    After
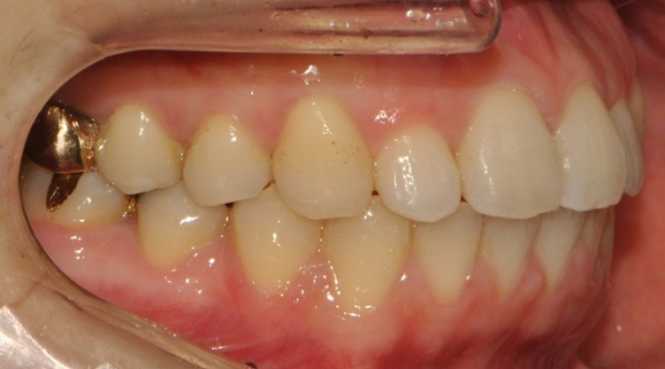
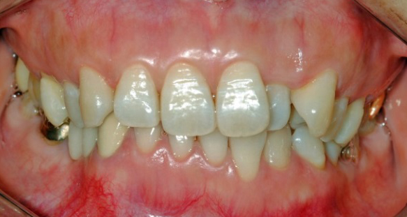
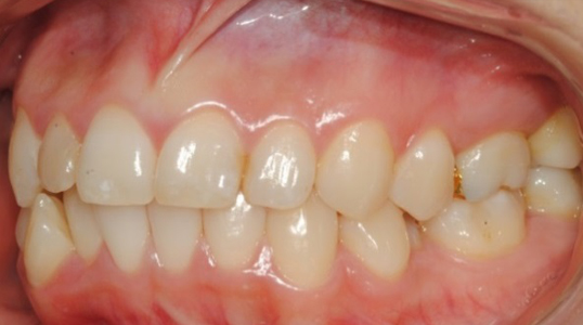
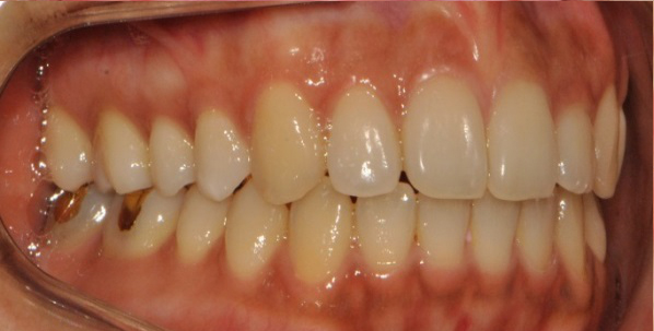
  • Before

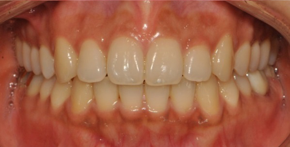
    ¡å

    After
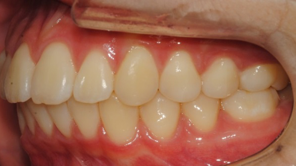
02. ±³Á¤»ç·Ê
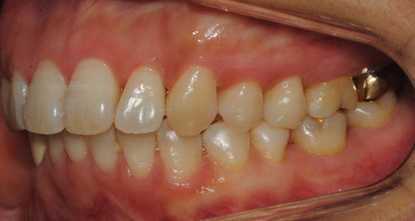
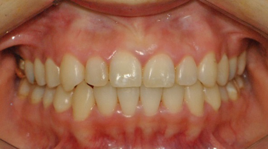
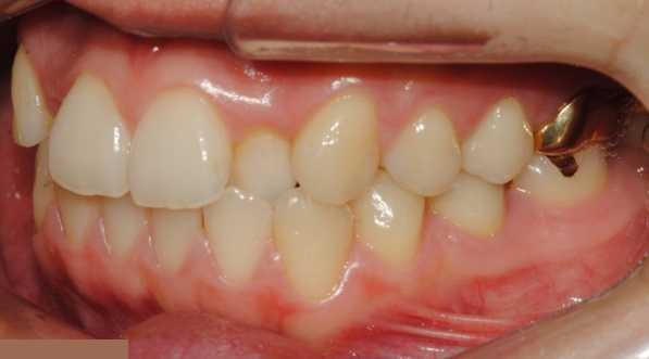
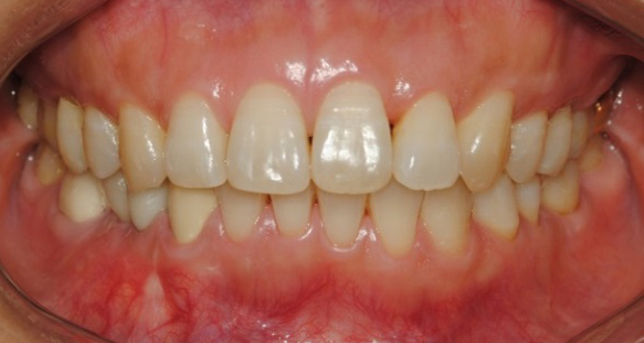
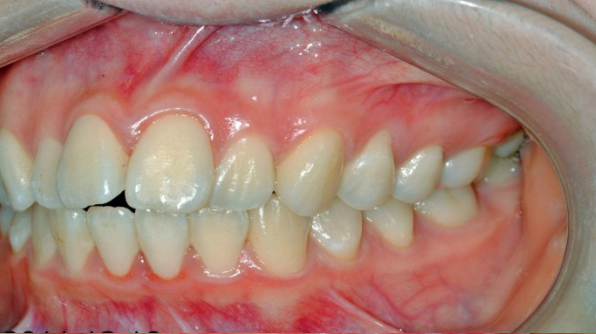
  • Before

    ¡å

    After
  • Before

    ¡å

    After
  • Before

    ¡å

    After
03. ±³Á¤»ç·Ê
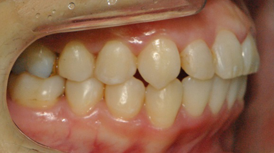
  • Before

    ¡å

    After
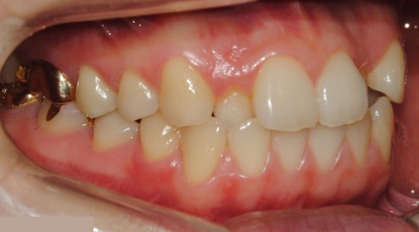
  • Before

    ¡å

    After
  • Before

    ¡å

    After
04. ±³Á¤»ç·Ê
  • Before

    ¡å

    After
  • Before

    ¡å

    After
  • Before

    ¡å

    After
05. ±³Á¤»ç·Ê
  • Before

    ¡å

    After
  • Before

    ¡å

    After
  • Before

    ¡å

    After
06. ±³Á¤»ç·Ê
  • Before

    ¡å

    After
  • Before

    ¡å

    After
  • Before

    ¡å

    After
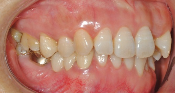
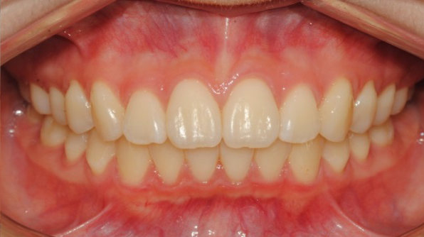
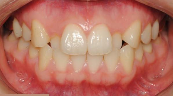
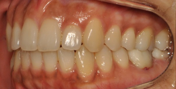
07. ±³Á¤»ç·Ê
  • Before

    ¡å

    After
  • Before

    ¡å

    After
  • Before

    ¡å

    After
ºñ¹ßÄ¡±³Á¤ ÁÖ°ÆÅα³Á¤ ¾È¸éºñ´ëĪ ÄÚ°ñÀÌŬ¸®´Ð Ä®¾È´ë´Â ÀÓÇöõÆ®
º´¿ø¼Ò°³
Àλ縻
º´¿ø µÑ·¯º¸±â
Áø·á½Ã°£ ¾È³»
ã¾Æ¿À½Ã´Â ±æ
Ä¡¾Æ±³Á¤ Ŭ¸®´Ð
ºÎÁ¤±³ÇÕÀÇ Á¾·ù¿Í ±³Á¤Ä¡·á
±³Á¤»ó½Ä
½Å°³³ä ±³Á¤ Ä¡·á¹ý
¼ºÀåŬ¸®´Ð
¾È¸é¼ºÀåŬ¸®´Ð
Ű¼ºÀåŬ¸®´Ð
ÅΰüÀý Ŭ¸®´Ð
ÅΰüÀý Àå¾Ö¶õ?
±¸Á¶¿Í ±â´É
Àå¾ÖÀÇ Áõ»ó
Àå¾ÖÀÇ ¿øÀÎ
Àå¾ÖÀÇ ÀÚ°¡Áø´Ü¹ý
ÅΰüÀý°ú Àü½ÅÁõ»ó
Àå¾ÖÀÇ Ä¡·á¹ý
ÀϹÝÁø·á
Ä® ¾È´ë´Â ÀÓÇöõÆ®
ÄÚ°ñÀÌ
À̰¥ÀÌ
Ä¿¹Â´ÏƼ
°øÁö»çÇ×
Ä®·³
¿Â¶óÀλó´ã
¿Â¶óÀλó´ã