±³Á¤»ó½Ä
½Å°³³ä ±³Á¤ Ä¡·á¹ý
ºÎÁ¤±³ÇÕÀÇ Á¾·ù¿Í ±³Á¤Ä¡·á
¾ó±¼ÀÇ Á¿찡 ºñ¶Ô¾îÁø ¾ó±¼ ¾È¸éºñ´ëĪÀ̶õ ¾ó±¼ÀÇ Á¿찡 ¼·Î ´ëĪÀÌ µÇÁö ¾Ê¾Æ ºñ¶Ô¾îÁø ¾ó±¼À» ¸»ÇÕ´Ï´Ù.
¾È¸éºñ´ëĪ ±³Á¤À̶õ? ¾È¸éºñ´ëĪ ȯÀÚµéÀº ´ëºÎºÐ ÀÚ½ÅÀÇ ¿Ü¸ð¿¡ ´ëÇØ ½ÉÇÑ ÄÞÇ÷º½º¸¦ °¡Áö°í ÀÖ½À´Ï´Ù. ±×·¡¼ ¾ç¾Ç¼ö¼úÀ» ÇØ¼¶óµµ ¾ó±¼¸ð½ÀÀ» °³¼±½Ã۰íÀÚ ÇÕ´Ï´Ù. ±×·¯³ª ¾È¸éºñ´ëĪÀº ¼ö¼ú·Îµµ Å©°Ô °³¼±È¿°ú¸¦ ±â´ëÇϱⰡ ¾î·Æ°í ¼ö¼ú ÈÄ ±³ÇÕÀ» Á¤È®ÇÏ°Ô ¸ÂÃß¾î ÁÖÁö ¾ÊÀ¸¸é ÅΰüÀý Àå¾Ö¸¦ À¯¹ß ÇÒ ¼ö ÀÖ½À´Ï´Ù. ¾È¸éºñ´ëĪÀÇ ¿øÀÎÀ» Á¤È®ÇÏ°Ô ±¸ºÐÇÏÁö ¾Ê°í ¹«Á¶°Ç ¾ç¾Ç¼ö¼úÀ» ÇÏ°Ô µÇ¸é ÅΰüÀý Àå¾Ö¸¦ À¯¹ß ÇÒ ¼ö ÀÖ½À´Ï´Ù. °ñ°Ý¼º (¼±ÃµÀû) ¿øÀÎ ¾ó±¼»À°¡ Á¿찡 ºñÁ¤»óÀûÀ¸·Î ´Ù¸£°Ô ¹ßÀ°µÇ¾î ³ªÅ¸³³´Ï´Ù. ¾È¸éºñ´ëĪÀÇ 10% ¹Ì¸¸ ¾ó±¼ ¸ð½ÀÀ» °³¼±½ÃÄÑ ÁÖ±â À§Çؼ´Â ¾ç¾Ç ¼ö¼úÀÌ ÇÊ¿äÇÕ´Ï´Ù. ºñ°ñ°Ý¼º (ÈÄõÀû) ¿øÀÎ ÅΰüÀýÀÌ Æ²¾îÁ®¼ ³ªÅ¸³³´Ï´Ù. ¾È¸éºñ´ëĪÀÇ 90% ÀÌ»ó ¾ç¾Ç¼ö¼úÀÌ ÇÊ¿ä ¾øÀÌ ±³ÇÕÀåÄ¡ (ÇϾÇÀçÀ§Ä¡ Á¤ÇüÀåÄ¡)¸¦ »ç¿ëÇÏ¿© ÅΰüÀýÀÇ À§Ä¡¸¦ ¹Ù¸£°Ô ÇØ ÁØ ´ÙÀ½ ±³ÇÕÆò¸éÀ» ¸ÂÃçÁÖ¸é ¾î·ÆÁö ¾Ê°Ô ÇØ°á µÉ ¼ö ÀÖ½À´Ï´Ù.
ºñ°ñ°Ý¼º ¾È¸éºñ´ëĪÀÇ Æ¯Â¡ ¹Ì°£ÀÇ Á߽ɰú Åγ¡ÀÇ Áß½ÉÀÌ ÀÏÄ¡ÇÏÁö ¾Ê°í À§ ÁßÀýÄ¡(´ë¹®´Ï)ÀÇ Á߽ɼ±°ú ¾Æ·¡ ÁßÀýÄ¡(´ë¹®´Ï)ÀÇ Á߽ɼ±ÀÌ ÀÏÄ¡ÇÏÁö ¾Ê½À´Ï´Ù. ¶ÇÇÑ ¾çÂÊ ´«ÀÇ À§Ä¡³ª Å©±â, ¾çÂÊ ±¤´ë»ÀÀÇ À§Ä¡³ª Å©±â, ¾çÂÊ ±ÍÀÇ À§Ä¡, ¾çÂÊ ÀÔÀÇ À§Ä¡µîÀÌ Â÷À̰¡ ³³´Ï´Ù.
¾È¸éºñ´ëΰú ôÃßÃø¸¸Áõ ¾È¸éºñ´ëĪÀ» °¡Áø ȯÀÚµéÀº ÅΰüÀýÀÌ ÇÑÂÊÀ¸·Î Ʋ¾îÁ® Àֱ⠶§¹®¿¡ ´ëºÎºÐ ÅΰüÀýÀå¾Ö¸¦ °¡Áö°í ÀÖÀ¸¸ç ±× °á°ú ¸Ó¸®¹«°ÔÀÇ Áß½ÉÀÌ ÇÑÂÊÀ¸·Î ½ò·Á ¸ñ»À°¡ ºñ¶Õ¾îÁö°í ¼¼È÷ µµ¹Ì³ëó·³ ÀüüÀûÀΠôÃß°¡ Ʋ¾îÁ®¼ ôÃßÃø¸¸ÁõÀÌ ¿À±â ½±½À´Ï´Ù. ±×·¯¹Ç·Î ¹ÌÀûÀÎ ¸é »Ó ¾Æ´Ï¶ó Àü½Å°Ç°À» À§Çؼµµ ¹Ýµå½Ã ¾È¸éºñ´ëĪÀÇ Ä¡·á¸¦ ÇØ¾ß ÇÕ´Ï´Ù.
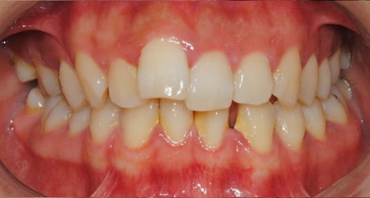
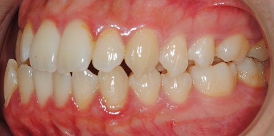
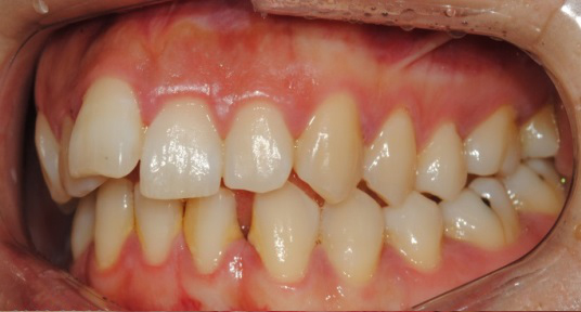
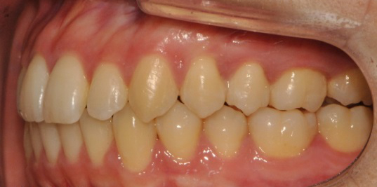
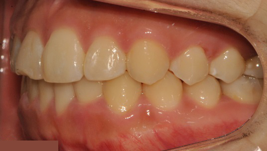
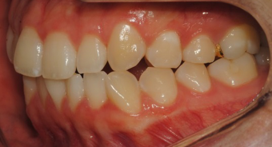
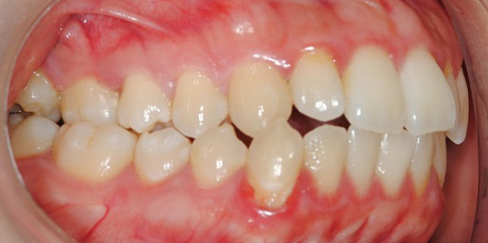
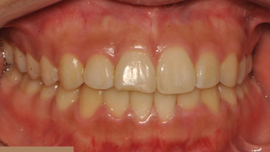
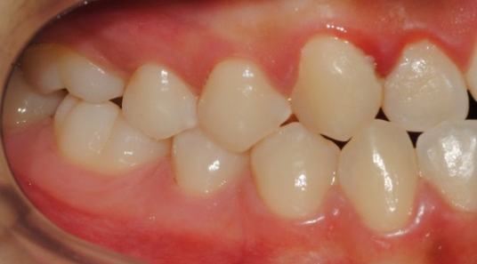
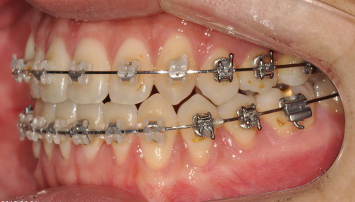
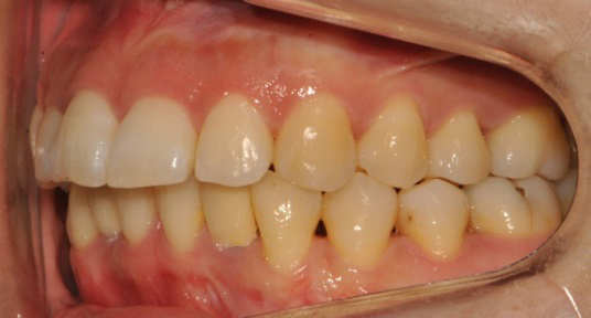
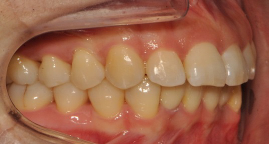
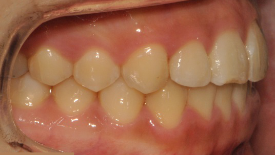
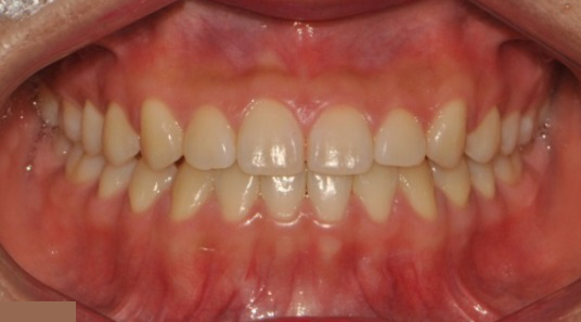
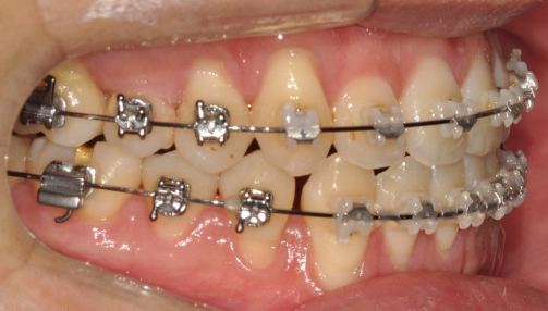
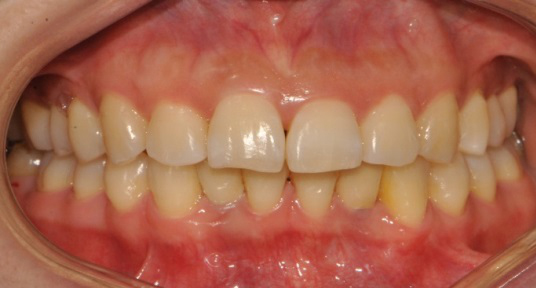
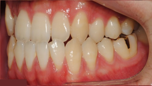
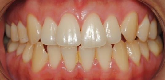
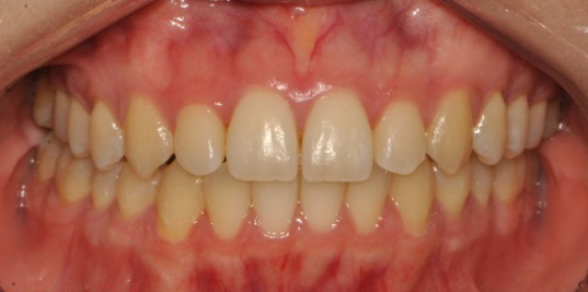
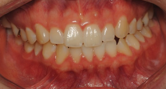
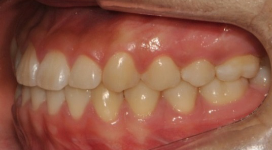
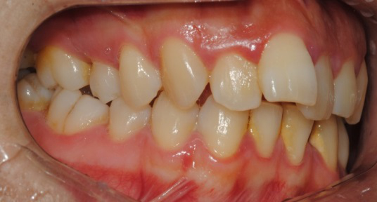
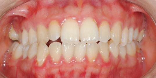
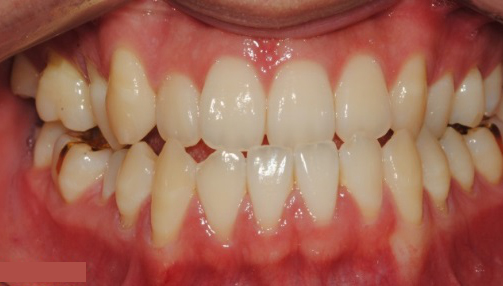
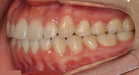
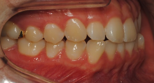
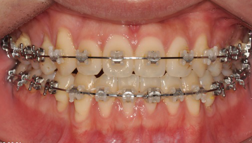
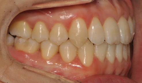
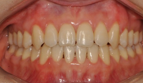
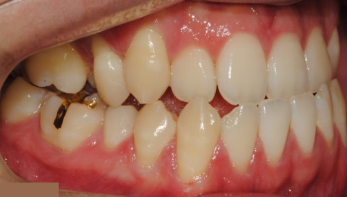
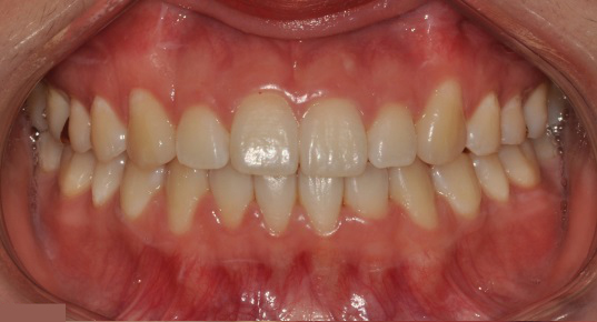
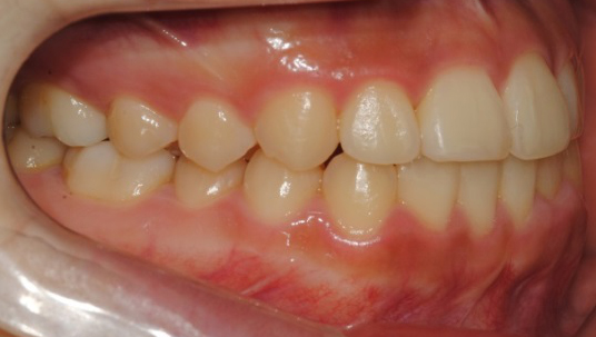
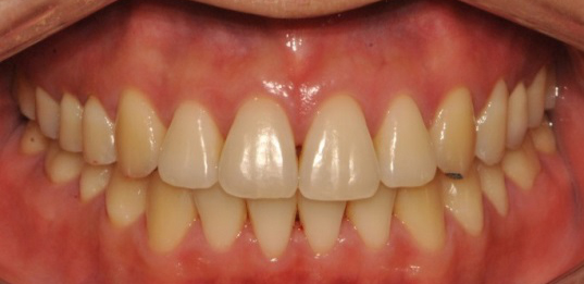
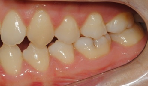
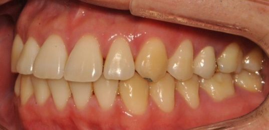
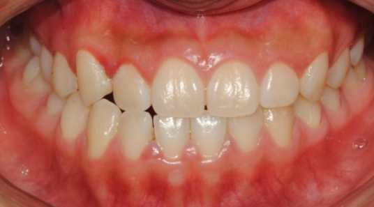
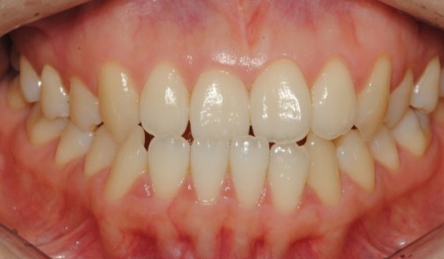
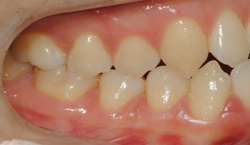
01. ±³Á¤»ç·Ê
Before
¡å
After
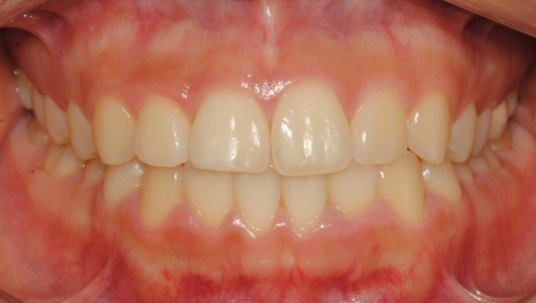
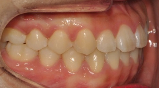
Before
¡å
After
Before
¡å
After
Before
¢º
After
02. ±³Á¤»ç·Ê
Before
¡å
After
Before
¡å
After
Before
¡å
After
Before
¢º
After
03. ±³Á¤»ç·Ê
Before
¡å
After
Before
¡å
After
Before
¡å
After
Before
¢º
After
04. ±³Á¤»ç·Ê
Before
¡å
After
Before
¡å
After
Before
¡å
After
Before
¢º
After
05. ±³Á¤»ç·Ê
Before
¡å
After
Before
¡å
After
Before
¡å
After
Before
¢º
After
06. ±³Á¤»ç·Ê
Before
¡å
After
Before
¡å
After
Before
¡å
After
Before
¢º
After
07. ±³Á¤»ç·Ê
Before
¡å
After
Before
¡å
After
Before
¡å
After
Before
¢º
After
08. ±³Á¤»ç·Ê
Before
¡å
After
Before
¡å
After
Before
¡å
After
Before
¢º
After
º´¿ø¼Ò°³
Àλ縻
º´¿ø µÑ·¯º¸±â
Áø·á½Ã°£ ¾È³»
ã¾Æ¿À½Ã´Â ±æ
Ä¡¾Æ±³Á¤ Ŭ¸®´Ð
ºÎÁ¤±³ÇÕÀÇ Á¾·ù¿Í ±³Á¤Ä¡·á
±³Á¤»ó½Ä
½Å°³³ä ±³Á¤ Ä¡·á¹ý
¼ºÀåŬ¸®´Ð
¾È¸é¼ºÀåŬ¸®´Ð
Ű¼ºÀåŬ¸®´Ð
ÅΰüÀý Ŭ¸®´Ð
ÅΰüÀý Àå¾Ö¶õ?
±¸Á¶¿Í ±â´É
Àå¾ÖÀÇ Áõ»ó
Àå¾ÖÀÇ ¿øÀÎ
Àå¾ÖÀÇ ÀÚ°¡Áø´Ü¹ý
ÅΰüÀý°ú Àü½ÅÁõ»ó
Àå¾ÖÀÇ Ä¡·á¹ý
ÀϹÝÁø·á
Ä® ¾È´ë´Â ÀÓÇöõÆ®
ÄÚ°ñÀÌ
À̰¥ÀÌ
Ä¿¹Â´ÏƼ
°øÁö»çÇ×
Ä®·³
¿Â¶óÀλó´ã
¿Â¶óÀλó´ã