
|
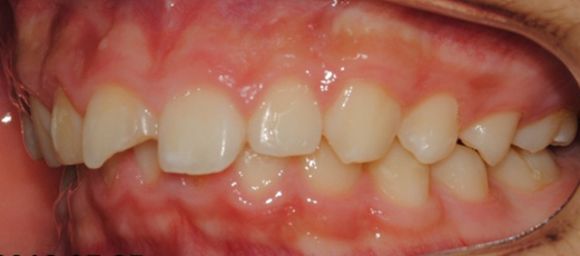
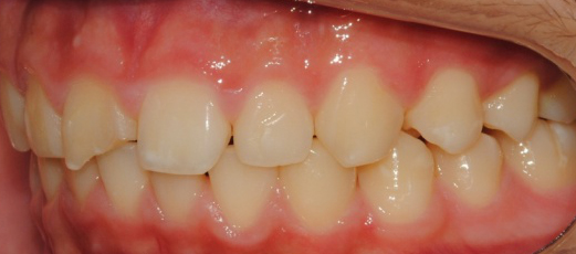
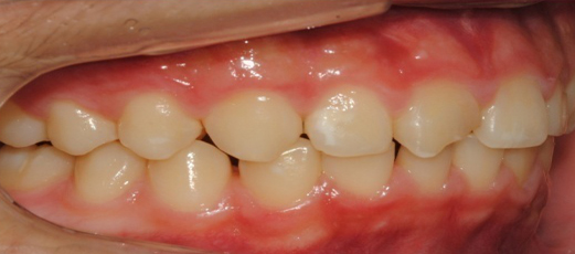
01. ±³Á¤»ç·Ê
-
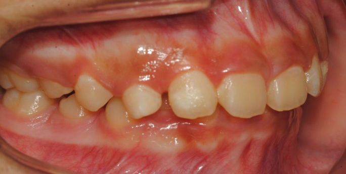
À§ ȯÀÚ´Â À´Ï°¡ ¾Æ·§´Ï¸¦ ³Ê¹« µ¤¾î¿ä(°ú°³±³ÇÕ) ¸¦ ÁÖ¼Ò·Î ³»¿øÇÑ ÃʵîÇлýÀ̾ú½À´Ï´Ù. ÅμºÀå ¾ÇÁ¤ÇüÀåÄ¡ »ç¿ëÈÄ È£ÈíÀÌ °³¼± µÇ¾úÀ¸¸ç Ä¡·áÀü¿¡ ºñÇØ ۰¡ 10cmÁ¤µµ ±Þ¼Ó ¼ºÀåÇÏ¿´½À´Ï´Ù.
|
|
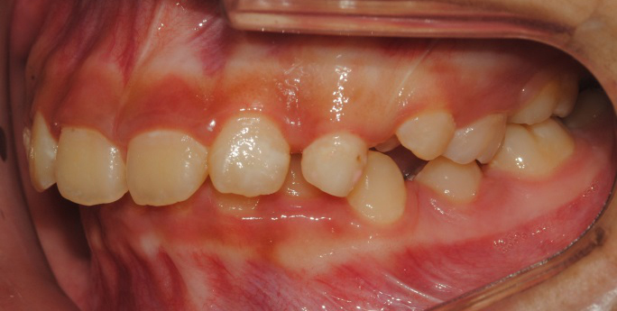
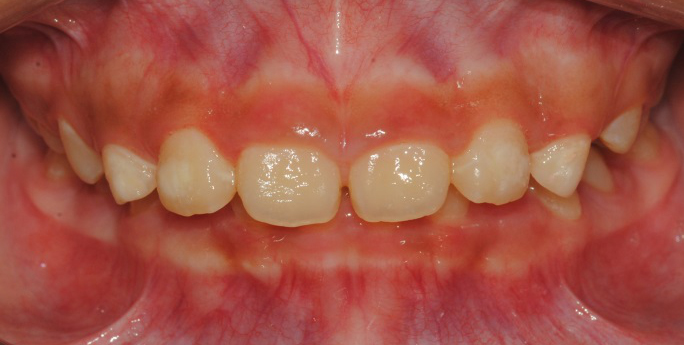
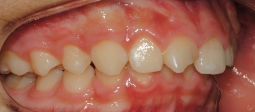
02. ±³Á¤»ç·Ê
-
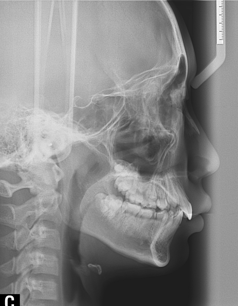
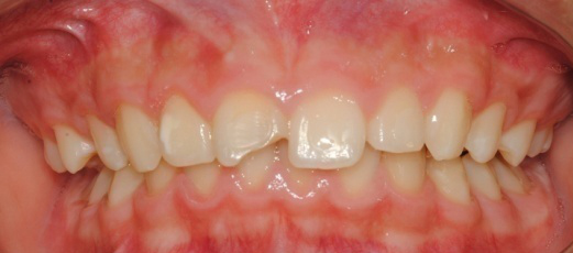
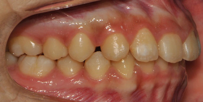
°ú°³±³ÇÕ°ú ¹«ÅÎ,ÅΰüÀýÀ» ÁÖ¼Ò·Î ³»¿øÇÏ¿© ÅμºÀå ¾ÇÁ¤ÇüÀåÄ¡¸¦ ÀÌ¿ëÇÏ¿© Ä¡·áÁßÀΠȯÀÚ·Î Ä¡·á½ÃÀÛ½ÃÁ¡ ±âÁØÀ¸·Î ÇöÀç ۰¡ ¾à 8cmÁ¤µµ ¼ºÀåÇÏ¿´½À´Ï´Ù. (Âü°í·Î 2³âÂ÷ ¿©µ¿»ý°ú ۰¡ 7-9cmŰ Â÷À̳²)
|
|